单纯疱疹病毒脑炎
皰疹病毒性腦炎(英文:herpesviral encephalitis)又稱單純皰疹腦炎(英文:herpes simplex encephalitis、HSE)是由單純皰疹病毒引發的腦炎。估計每年每25至50萬人中,大約有1人受單純皰疹腦炎影響。[1] 部份研究表明,初生嬰兒發病率為每10萬名初生嬰兒中佔5.9例。[2]
| Herpesviral encephalitis | |
|---|---|
![]() | |
| 类型 | Herpesviridae infectious disease[*]、viral encephalitis[*] |
| 分类和外部资源 | |
| 醫學專科 | 傳染病學 |
| ICD-11 | 1F00.21 |
| ICD-10 | B00.4 |
| ICD-9-CM | 054.3 |
| OMIM | |
| eMedicine | article/1165183 article/341142 |
約90%的皰疹病毒性腦炎病例是由單純皰疹病毒 1 (HSV-1) 引起,這種病毒與引起唇皰疹的病毒相同。約57%美國成年人感染了HSV-1,[3] 它通過飛沫、偶然接觸,有時甚至是性接觸傳播,但大多數感染者從未患過唇皰疹。其餘病例是由HSV-2病毒引起,它通常通過性接觸傳播,由生殖器皰疹引致。
三分之二的皰疹病毒性腦炎病例發生在HSV-1病毒血清反應陽性的個體中,其中少數(僅 10%)有復發性口面部皰疹病史,而大約三分之一的病例是由HSV-1病毒最初感染引起,主要發生在18歲以下。[1] 大約一半患有皰疹病毒性腦炎的患者年齡超過50歲。[4]
症狀
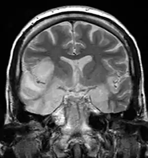
大多數患有單純皰疹腦炎的人會因意識水平下降和精神狀態改變而出現混亂和人格改變。患者腦脊液中白細胞數量會增加,但不存在病原菌和真菌。患者通常會發燒[1],並可能出現癲癇發作。隨著疾病的進展,大腦部活動會發生變化,首先顯示大腦一個顳葉異常,7-10天後會擴散到另一個顳葉。[1] CT或MRI成像顯示顳葉的特徵性變化(見圖)。
準確的診斷需要通過腰椎穿刺(脊髓穿刺)檢測腦脊液(CSF)中是否存在病毒。檢測需時數天,疑似單純皰疹腦炎患者應在等待檢測結果的同時立即使用阿昔洛韋治療。臨床醫生應意識到非典型腦中風如由單純皰疹腦炎引致的中風跟一般腦中風類似。[5]
什么时候都可以发病,40岁以上多见,急性起见病, 潜伏期为2=21d平均6d,前驱症状可能会有发热,全身不适,头痛,肌痛和嗜睡等症状。
临床症状
头痛,呕吐,轻度意识障碍,人格改变,记忆丧失,嗅觉缺失,失语,轻偏瘫,偏盲,多动和脑膜刺激征等。
参考文献
- Whitley RJ. . Antiviral Research. September 2006, 71 (2–3): 141–8. PMID 16675036. doi:10.1016/j.antiviral.2006.04.002.
- Kropp RY, Wong T, Cormier L, Ringrose A, Burton S, Embree JE, Steben M. . Pediatrics. June 2006, 117 (6): 1955–62. PMID 16740836. S2CID 9632498. doi:10.1542/peds.2005-1778.
- Xu F, Sternberg MR, Kottiri BJ, McQuillan GM, Lee FK, Nahmias AJ, Berman SM, Markowitz LE. . JAMA. August 2006, 296 (8): 964–73. PMID 16926356. doi:10.1001/jama.296.8.964
. - Whitley RJ, Gnann JW. . Lancet. February 2002, 359 (9305): 507–13. PMID 11853816. S2CID 5980017. doi:10.1016/S0140-6736(02)07681-X.
- . [2022-03-03]. (原始内容存档于2020-04-27).
